Remiantis pirmadienį (spalio 20 d.) žurnale „The New England Journal of Medicine“ paskelbtu tyrimu, nedidelio masto bandyme apie 80 proc. žmonių, praradusių regėjimą dėl su amžiumi susijusios geltonosios dėmės degeneracijos (AMD), po metų nuo gydymo pradžios vėl sugebėjo skaityti raides ir žodžius.
„Dirbtinio regėjimo istorijoje tai reiškia naują erą, – teigia tyrimo bendraautorius, oftalmologas iš Londono universiteto koledžo ir Murfildso akių ligoninės specialistas Mahis Muqitas. – Neregiai pacientai iš tiesų gali atkurti reikšmingą centrinį regėjimą, o tai dar niekada nebuvo padaryta.“
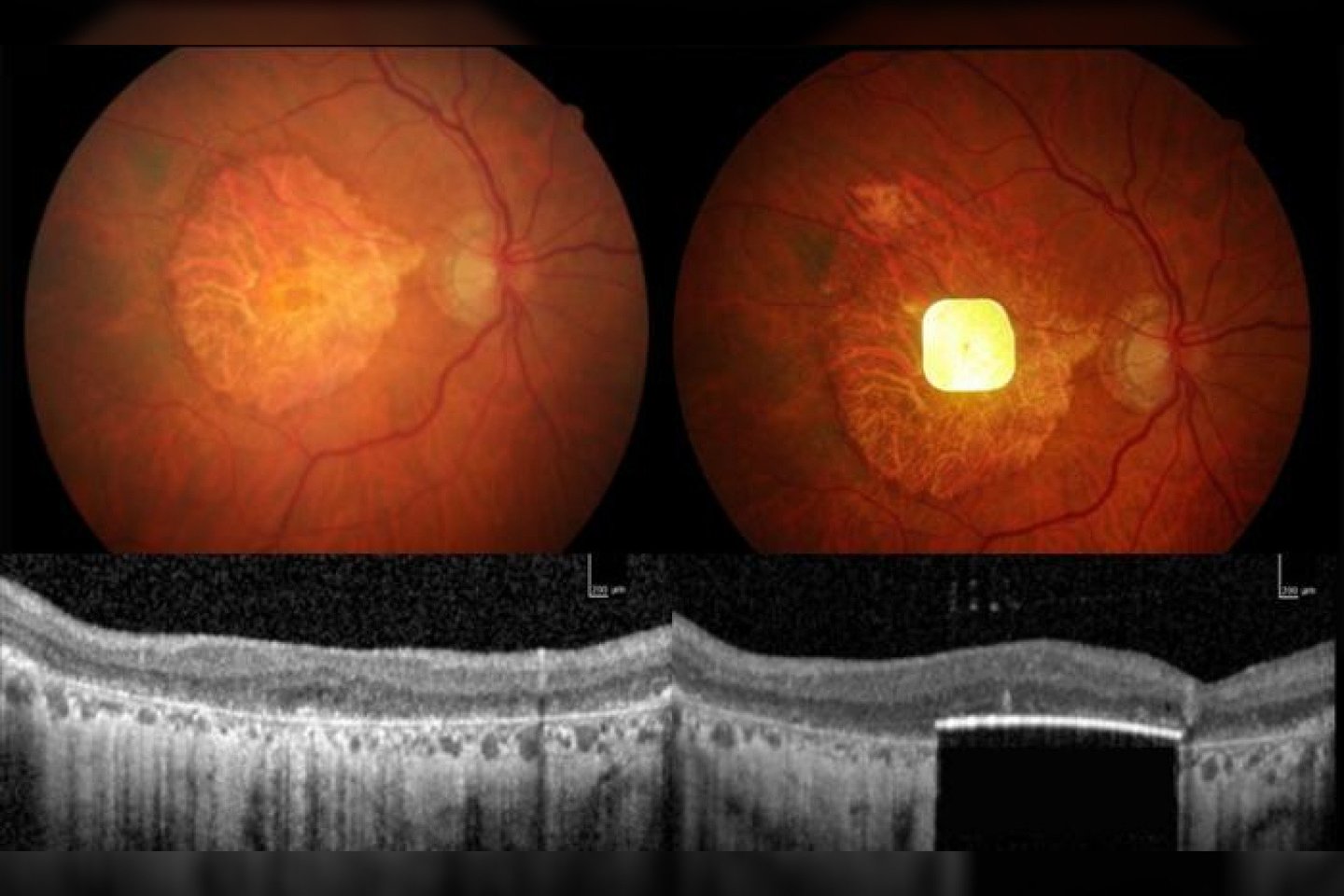
AMD yra dažniausia aklumo priežastis vyresniems nei 65 metų suaugusiesiems. Liga pažeidžia geltonąją dėmę – arba centrinę tinklainės dalį – ir sukelia regos praradimą akies centre. Pažengusios AMD stadijos metu procesas, žinomas kaip geografinė atrofija, sukelia didelę žalą tinklainės ląstelėms, o tai gali sukelti visišką aklumą toje akyje. Geografinė atrofija paveikia apie 5 milijonus žmonių visame pasaulyje.
Susiję straipsniai
„Prieš implanto įdėjimą man atrodė, tarsi mano akyse būtų du juodi diskai, o išorė būtų iškraipyta“, – pasakoja tyrime dalyvavusi Sheila Irvine, kuriai buvo diagnozuota AMD.
Mažame klinikiniame tyrime 38 Europos pacientams, sergantiems AMD, po tinklainės centru, po mirusiomis ląstelėmis, buvo implantuotas mažas elektroninis lustas. Mikroschema belaidžiu būdu jungiasi prie papildytos realybės akinių, prijungtų prie mažo kompiuterio, kurį kiekvienas pacientas nešioja ant juosmens.
Ši sistema, vadinama fotovoltine tinklainės implanto mikromatrica – arba PRIMA sistema – naudoja akiniuose esančią vaizdo kamerą, kad užfiksuotų teksto vaizdus. Tada akiniai tą vaizdą projektuoja ant implantuotos mikroschemos kaip infraraudonąją šviesą. Mikroschema šviesą paverčia elektriniais signalais, kuriuos smegenys interpretuoja kaip regėjimą.
„Tai naujas būdas žiūrėti savo akimis, ir kai pradėjau matyti raides, tai buvo nepaprastai jaudinantis jausmas, – sako Sh. Irvine. – Iš naujo mokytis skaityti nėra paprasta, bet kuo daugiau laiko tam skiriu, tuo daugiau išmokstu.“
Tyrimo dalyviai kelis mėnesius mokėsi skaityti naudodami naująjį prietaisą. Tyrėjai taip pat skatino pacientus išbandyti naujus prietaiso naudojimo būdus. Sh. Irvine savo prietaisą naudojo kryžiažodžiams spręsti, o kitas pacientas – keliauti Paryžiaus metro. Kameros priartinimo funkcija taip pat padeda vartotojams skaityti smulkiu šriftu spausdintą tekstą – pavyzdžiui, receptą.
PRIMA sistema turi tam tikrų apribojimų, „NBC News“ nurodė „Mass Eye and Ear“ direktorius dr. Demetriosas Vavvasas, kuris nedalyvavo tyrime. Dabartine forma prietaisas atkuria tik juodai baltą vaizdą – o ne spalvų ar pilkosios skalės vaizdą – todėl jo negalima naudoti veidams atpažinti. Be to, dar nėra aišku, ar prietaisas išliks toks pat veiksmingas po kelerių metų naudojimo.
Tačiau „kuo šis prietaisas bus tobulinamas, tuo jis galės tapti realiu sprendimu daugeliui pacientų“, NBC sako D. Vavvasas.




