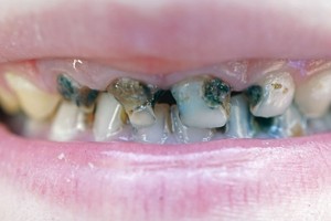
Vaikų dantų ligų rodikliai taip pat patys prasčiausi Europoje, nors profilaktinėms programoms skiriama nemažai valstybės lėšų.
Skaičiuojama, kad net 72 proc. lietuvių turi per pastaruosius dvejus metus plombuotus dantis, tai byloja apie tai, kad jie netinkamai juos prižiūri.
Dar keisčiau tai, kad mažai kas žino, kad dantų šepetuką, kuris yra svarbiausia dantų valymo dalis, ją keisti reikia bent keturis kartus per metus arba, ko apskritai nežino, po ligos.
Lietuva iš 27 Europos valstybių pagal dantų šepetėlių keitimo dažnį lenkia tik Serbiją, kurioje dantų šepetukus gyventojai keičia dar rečiau.
Lyderystės bedančių sąraše būtų galima išvengti jai teisingai valytume dantis.
Kokias klaidas darome?
Tyrimai rodo, kad beveik pusė lietuvių dantis valo kartą per dieną.
Susiję straipsniai
Susiję straipsniai
Nekreipiame dėmesio į dantenų kraujavimą: Lietuvoje periodontitu serga iki 95 procentų vyresnių nei 55 metai žmonių.
Nenaudojame tarpdančių siūlo.
Valgome nesubalansuotą maistą, kuriame daug cukrų.
Susiję straipsniai
Ką daryti, kad dantys būtų sveiki?
Taisyklingai valyti.
Naudoti tarpdančių siūlą.
Prižiūrėti mitybą.
Kaip taisyklingai valytis dantis šepetėliu?
Susiję straipsniai
Susiję straipsniai
Susiję straipsniai
Šepetėlis turi būti minkštas, kuo daugiau šerelių ir nedidele galvute.
Šepetėlis laikomas 45 laipsnių kampu.
Sukamieji judesiai fiksuojami ties dviem dantimis.
Centriniai ir šoniniai kandžiai valomi šluojamaisiais judesiais.
Svarbu nepamiršti valyti ir liežuvio. taip pat svarbi tinkama mityba. Kramtant kietesnį maistą, apsivalo dantų paviršiai. Cukrus burnos ertmėje virsta kenksmingomis rūgštimis, todėl jo mityboje turėtų būti kuo mažiau.
Visą atmintinę, kaip taisyklingai valyti dantys, išvysite Kauno visuomenės sveikatos biuro filmuke.






