NVSC specialistai ėmėsi skubių veiksmų, kad būtų apsaugoti kontaktą su sergančiuoju turėję asmenys. Apie ligą, jos plitimo būdus ir apsisaugojimo priemones informuojami skambinusieji. Teikiama informacija ugdymo įstaigos administracijai, konsultuojama dėl tolimesnių veiksmų. NVSC Klaipėdos departamento užkrečiamųjų ligų valdymo specialistai šiandieną vyks į ugdymo įstaigą, teiks rekomendacijas tuberkuliozės profilaktikos klausimais.
Kaip užsikrečiama tuberkulioze?
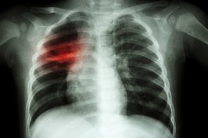
Tuberkuliozė plinta oro lašeliniu būdu, t. y. tuberkuliozės mikobakterijos patenka į orą, kai plaučių tuberkulioze sergantis žmogus kalba, kosti, čiaudo, spjaudo skreplius. Žmogus užsikrečia įkvėpęs užkrėsto tuberkuliozės mikobakterijomis oro.
Užsikrėsti tuberkuliozės bakterijomis gali daugelis, tačiau suserga tuberkulioze dažniausiai turintys silpnesnį imunitetą. Tikimybė užsikrėsti didėja, jei bendraujama ilgai ir intensyviai su sergančiuoju atvira plaučių tuberkulioze, ypač blogai vėdinamose patalpose. Liga neplinta per stalo įrankius, tualetą, sveikinantis
Ką reikia daryti kontakte su ligoniu buvusiems asmenims?
Šeimos nariai bei kiti su sergančiuoju bendravę (pvz. klasės draugai, bendradarbiai ir kt.) asmenys, privalo pasitikrinti sveikatą.
Suaugusieji tiriami rentgenologiškai, o vaikams atliekamas tuberkulino mėginys. Siuntimus pasitikrinti sveikatą pas šeimos gydytoją, asmenims, kurie kolektyve galėjo turėti artimą sąlytį su sergančiu atvira tuberkulioze asmeniu, išduoda NVSC specialistai. Šeimos narių ištyrimą dėl tuberkuliozės organizuoja ligą nustatęs gydytojas pulmonologas.
Susiję straipsniai
Rizikos sirgti tuberkulioze asmenų grupės:
asmenys, turėję artimą sąlytį su atvira tuberkulioze sergančiu: kartu būnantys šeimos nariai ar kiti asmenys, būnantys tose pačiose patalpose (kambaryje, bute ar individualiame name ir pan.), kartu dirbantys, besimokantys asmenys;
asmenys, užsikrėtę žmogaus imunodeficito virusu;
asmenys, priklausomi nuo alkoholio, narkotinių ir kitų psichoaktyvių medžiagų;
asmenys, esantys laisvės atėmimo vietose;
asmenys, gyvenantys uždaruose kolektyvuose (slaugos ir globos įstaigose, nakvynės namuose ir pan.);
asmenys, kurių sveikatos būklė didina riziką susirgti tuberkulioze:
persirgę tuberkulioze, turintys latentinę tuberkuliozę;
sergantys onkologinėmis ligomis;
patyrę skrandžio ar žarnų dalies pašalinimą;
sergantys cukriniu diabetu;
sergantys lėtiniu inkstų nepakankamumu;
turintys kūno masės indeksą 10 procentų mažesnį už normą;
gydomi kortikosteroidais ir (ar) imunitetą slopinančiais vaistais, navikų nekrozės faktoriaus inhibitoriais;
asmenys, atvykę iš šalių, kuriose didelis sergamumas tuberkulioze (didesnis nei 50 atvejų 100 000 gyventojų);
rizikos grupių vaikai, kaip nustatyta Lietuvos Respublikos sveikatos apsaugos ministro 2002 m. rugpjūčio 6 d. įsakyme Nr. 399 „Dėl tuberkulino mėginių atlikimo ir statistinės ataskaitos formos Nr. 9 „Tuberkulino mėginių atlikimo statistinė ataskaita“ patvirtinimo“;
darbuotojai, kurie privalo prieš pradėdami dirbti ir vėliau kasmet pasitikrinti sveikatą, ar neserga tuberkulioze, kaip nustatyta Lietuvos Respublikos Vyriausybės 1999 m. gegužės 7 d. nutarime Nr. 544 „Dėl Darbų ir veiklos sričių, kuriose leidžiama dirbti darbuotojams, tik iš anksto pasitikrinusiems ir vėliau periodiškai besitikrinantiems, ar neserga užkrečiamosiomis ligomis, sąrašo ir šių darbuotojų sveikatos tikrinimosi tvarkos patvirtinimo“.



